審美治療
審美治療について
歯を白くすることだけが審美治療の目的ではありません。
健康でピンク色の歯肉のラインとご自身の歯の色と形が調和してこそ自然で美しい口元が得られます。
そして健康な歯肉と歯を永く維持することが治療の目標です

- ピンク色で健康な歯肉と調和した天然歯
- 天然歯は白いだけではありませんよく見ると美しい個性的な色と形をしています。
また健康な歯肉はピンク色できれいに形がそろっています。

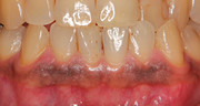
- でこぼこの歯肉のラインと白いセラミックの人工歯
- 歯肉が赤黒く腫れたまま、周りの歯や歯肉に調和しない
セラミックの人工歯が装着されています。
オールセラミック(保険外)
金属を使わないセラミックによる修復で、色調と質感が自然で摩耗性に優れ、土台や歯と強く接着させることで歯と一体化し長持ちします。
- 利点
- ・金属を使わないので歯科用金属アレルギーの原因にならない
・金属を使わないのでブラックラインが出にくい
・光を透過してより審美的
・汚れ(歯垢・着色)が付きにくく、落としやすい。
・土台と強く接着させることで歯と一体化し細菌の侵入を防ぐ - 欠点
- ・保険がきかない
・金属の冠に対して歯の削除量が多くなる - オールセラミックの種類
- ジルコボンド ¥115,000
ジルコニア ¥85,000
ホワイトセラミック ¥40,000~¥60,000
- ブラックラインの改善:30代女性の例
- 歯肉縁のブラックライン改善を希望された患者様です。
オールセラミック(ジルコボンド)で修復し審美性を改善しました。

ジルコボンド(保険外) 1歯¥115,000
- 個性を大事に:60代男性の例
- 型取り前、歯肉に炎症はありません。他のご自身の歯の着色や形を参考に自然に仕上げます。
- ホワイトセラミック部分修復:20代女性の例
- 金属の代わりにホワイトセラミックを接着して修復しました。
歯とセラミックが強く接着することで境目のむし歯を防ぎます。

ホワイトセラミックによる部分修復(保険外)1歯 ¥40,000~¥60,000
ガムピーリング(保険外)
歯肉の着色(メラニン色素、メタルタトゥー)をレーザーや薬剤で除去します。
- レーザーピーリング例:30代男性

1歯相当 ¥1,000
WHITENING ホワイトニング(保険外)
ご自身の歯を薬剤でブリーチング(漂白)して自然な白さに。

- OFFICE WHITENING オフィスホワイトニング
- 歯科医院で専門のスタッフが行う歯のブリーチング(漂白)です。
歯と歯肉にやさしいマイルドな薬剤を使いますので刺激が少なく、
艶のあるナチュラルな白さが期待できます。
- オフィスホワイトニング2回 施術例
施術前
施術後
6歯 ¥15,000
歯周形成外科(保険・保険外)
- 露出した歯の根を歯肉で覆い形態(審美性)を改善します。
- 調和のとれた健康な歯肉を作るための簡単な外科的治療です。
歯ブラシが簡単になり、歯の知覚過敏症にも効果があります。
治療前
治療後








