歯周病治療
歯周病治療について
歯周病治療を簡単にいえば歯肉炎・歯周炎の原因となっている歯周病原菌(プラーク)を取り除くことです。
原因がなくなれば炎症は消退して歯周病の進行はストップできます。 プラークは歯ブラシなどで簡単に落とすことができますので歯周病治療で重要なことは患者様ご自身で行う歯ブラシ(プラークコントロール)なのです。
和歯科医院では歯科衛生士によるプラークコントロールハブラシ指導を行います。
ただの歯ブラシの練習ではありません。歯ブラシ以外の清掃用具(歯間ブラシ、デンタルフロス)の使用法など患者様に合わせた方法を提案・指導します。
並行して具体的な治療
深い歯周ポケットのプラークや歯石、虫歯、歯列不正、適合の悪い被せ物(詰め物)などお口の中にプラークコントロールを困難にする因子や、歯ぎしり、かみ癖、喫煙、生活習慣等などの歯周病の進行を助ける因子がたくさんあります。
これらを治療、改善して患者様ご自身でプラークコントロールできる口腔内にするのが歯科医院の役目(歯周病治療)になります。
歯周病治療の流れ
歯周病の専門的治療としてたくさんの方法(歯周外科手術、再生治療、レーザーなど)が紹介されていますが、実際に歯周病専門医が行う治療のほとんどは患者様の身体自身が持つ治癒力を少しだけ後押ししているだけなのです。
もちろん歯周病を治す特効薬はありません。重要な事は、基本的治療(ブラッシング、歯石の除去などのプラークコントロール)をしっかりと行い患者様の治り方(反応)を確認(再検査)してから次のステップ(歯周外科手術、再生治療などのより高度な専門的治療法)を検討することだと考えます。
- 1.初回検査:
- 必要に応じてレントゲン撮影、口腔内写真撮影、歯周ポケットの測定、咬み合わせ診査などの歯周病検査を行い治療計画の検討をします。
現在のご自身のお口の状態を分かりやすいイラストと口腔内写真で説明します(プリントして持ち帰りができます)。また具体的な治療計画を相談します。
- 2.基本治療(すべての患者様に)
- プラークコントロール指導(歯ブラシ、歯間ブラシ、デンタルフロス、洗口液など患者様のお口の状態に合わせた口腔清掃法の指導)とプラークコントロールを困難にする歯石の除去、虫歯の治療、不適合冠の修正、歯周病に悪影響を与える生活習慣の改善を行います。
- 3.再検査
- 基本治療後の検査を行い今後の治療方針を再検討します。多くの患者様は歯石の取り残しのチェック(基本治療の徹底)を行えば症状は改善します。必要であれば基本治療を繰り返す場合もあります。
※歯石を1回で完全に取ることは難しいので通常は何回にも分けて行います。

- 4.歯周外科手術、歯周形成外科、再生治療
- 基本治療で改善しない部位はより高度な治療法を検討します。
外科的な治療法が多くなりますが、目的は取り残した歯石を確実に除去すること、歯周組織を整形してプラークコントロールし易い環境を作ることです。
- 5.再検査
- 6.メインテナンス
- 検査で良好な口腔内の状態が確認できたら定期検診に移行します。治療によって得られた健康な状態を永年維持するためには、腫れや痛みなどの不快症状がなくても、定期検診を継続して受けることが重要です。
定期検診では、歯周病の再発防止と再発部の早期治療、噛み合わせのチェック、新たな虫歯の早期発見と治療、クリーニング(PMTC)、歯ブラシの確認などを行います。
注)通常は、歯周病治療を単独で行うことは少なく他の治療(インプラント治療、審美治療など)と並行して行います。
歯と歯肉の構造(歯肉の役割)
歯とその周りの歯肉はヒトの身体のなかでも特別な構造をしています。通常ヒトの身体の外側は丈夫な皮膚や粘膜(胃・腸や鼻の中)に覆われてバイ菌や有害物質などから身体の中を守っています。ところが、歯はアゴの骨(身体の中)から歯肉(皮膚と同じ働きをします)を突き破って生えているため歯と歯肉の隙間ができてしまいます。
- 乳歯が抜け歯肉を破って生えてきた永久歯(7歳)
- 乳歯、永久歯は歯肉を突き破って生えてきます!
歯が生えている周りは歯肉がピッタリとシールして隙間(歯肉溝)からバイ菌(歯周病原菌)が身体の中に入らないように守っています。
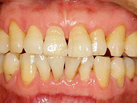
歯肉炎、初期の歯周炎
歯と歯肉の隙間(歯肉溝)から侵入してきたバイ菌(歯周病原菌)や有害物質を排除する生体の防御反応として炎症(最初は歯肉炎・進行すると歯周炎)が起こります。
歯ブラシを怠るとバイ菌(プラーク)量が増えて身体の防御反応だけでは侵入してくるバイ菌や有害物質を排除できなくなります。バイ菌に防御力が負けて歯と歯肉のシールが壊れてしまった状態が歯周病と考えてください。
初期の歯周炎は痛みなどの症状がないため見逃されてしまいますが、この段階なら簡単な治療で綺麗になおります。
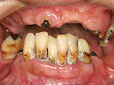
中期の歯周炎
シールが壊れて隙間(歯肉溝)が深くなった状態を歯周ポケットといいます。歯周ポケットが深くなれば歯周病原菌にとって住みやすい環境になりますのでバイ菌が増える悪循環が歯周病を進行させ歯を支えている骨(歯槽骨)まで破壊してしまいます。この段階では、歯肉の腫れや痛み、口臭など不快な症状があります。
中期以降の歯周炎に進行すると完全な治療は難しくなりますが、適切な治療で健康な状態を維持することは可能です。

- 中期以降の歯周炎の状態
- 歯肉から出血、排膿、腫れや痛み、口臭などたくさんの不快な症状があります。
ポケット内部の歯垢は歯ブラシで落とすことが困難です。また害の大きな歯周病原菌に住みやすい環境になっています。
後期の歯周炎(歯槽膿漏)
適切な治療をしなければ、歯の周りはすっかりバイ菌(プラーク)で覆われ、
最後はグラグラになり自然に抜け落ちてしまいます。
歯が抜けてなくなればバイ菌の侵入してくる隙間も消えます。
その代償として歯を失うことになるわけです。


- 後期の歯周炎(歯槽膿漏)で自然に抜けてしまった歯
- 自然に抜けてしまった歯の歯垢を染めました。
歯根の表面全体に多量の歯石とプラークが付いています。
抜けた穴が治ればバイ菌の侵入する隙間は消えます。
![]() |
![]() |
|---|





























